Orthodontie Nieuw-Vennep

Notificatie

Welkom bij
Orthodontie Nieuw-Vennep

Persoonlijke zorg door orthodontist Tim Nai. Makkelijk bereikbaar in winkelcentrum De Symfonie (naast Zeeman)

Géén wachtlijst

Altijd dezelfde orthodontist

Moderne technieken

Persoonlijke zorg

Onze behandelingen

Slotjesbeugel

De klassieke methode voor rechte tanden.

Invisalign

Onzichtbare beugels voor zichtbare correcties.

Hyrax

Beugel voor verbreding van de bovenkaak bij o.a. ruimtegebrek.

New T-appliance

Stimuleert de groei en corrigeert de kaakstand.

Herbst-scharnier

Corrigeert een grote overbeet op jonge leeftijd.

Geïmpacteerde tanden

Speciale behandeling bij niet-doorgekomen tanden.

Kaakoperaties

Wanneer alleen een beugel niet voldoende is.

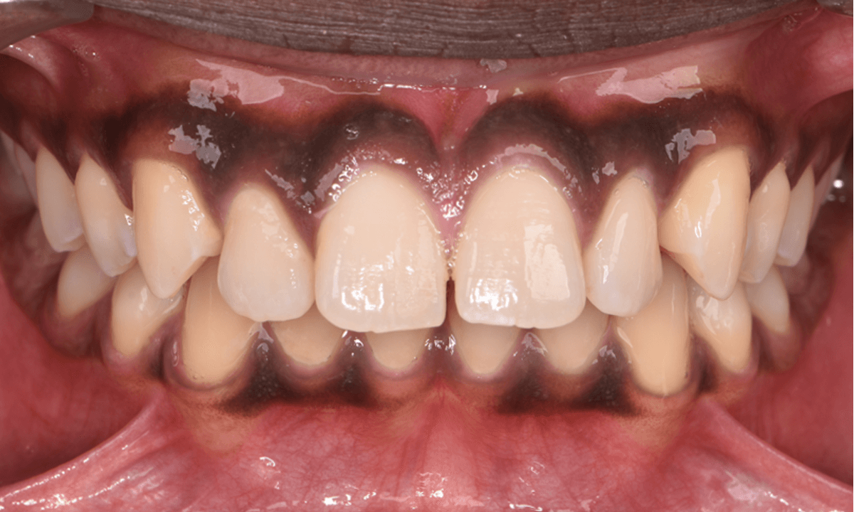
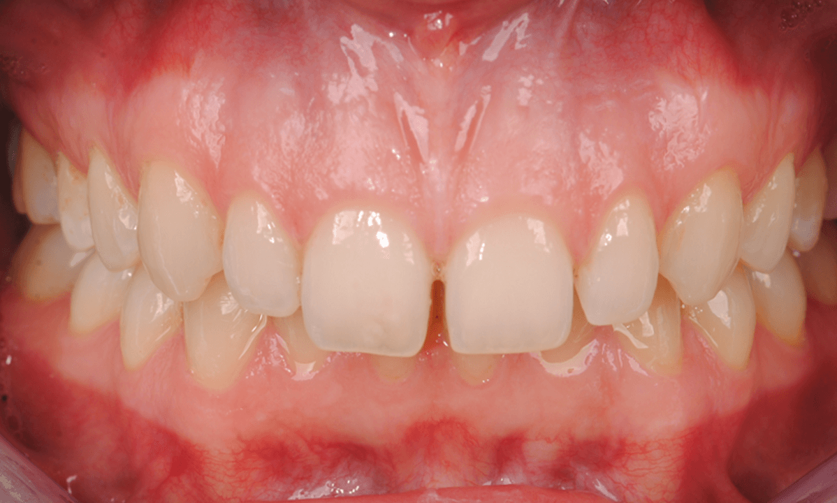
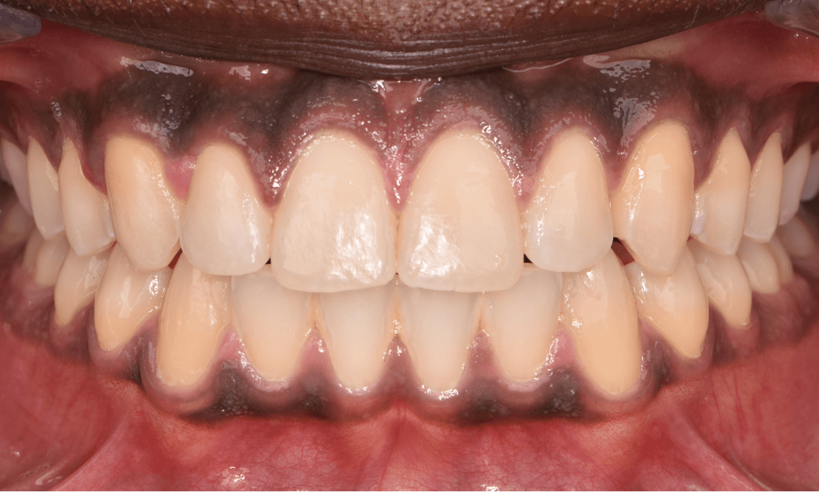
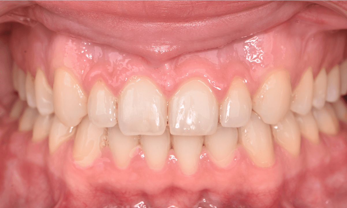
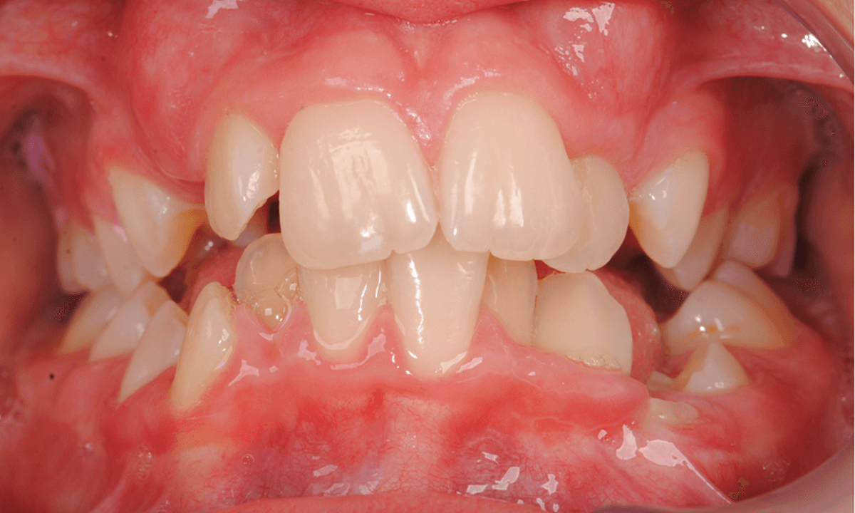
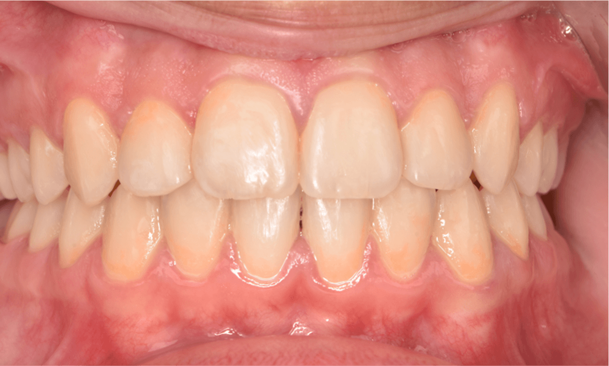
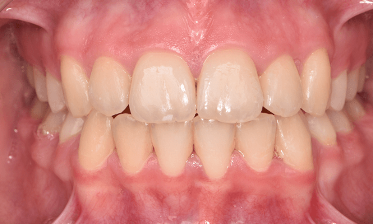
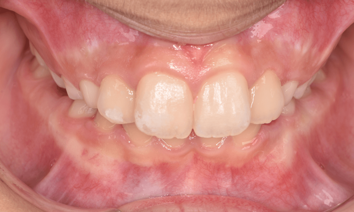
Onze resultaten

Orthodontie Nieuw-Vennep | Ortho Nieuw-Vennep - Home - 09/03/2026 Orthodontie Nieuw-Vennep | Ortho Nieuw-Vennep - Home - 09/03/2026
Orthodontie Nieuw-Vennep | Ortho Nieuw-Vennep - Home - 09/03/2026 Orthodontie Nieuw-Vennep | Ortho Nieuw-Vennep - Home - 09/03/2026
Orthodontie Nieuw-Vennep | Ortho Nieuw-Vennep - Home - 09/03/2026 Orthodontie Nieuw-Vennep | Ortho Nieuw-Vennep - Home - 09/03/2026
Orthodontie Nieuw-Vennep | Ortho Nieuw-Vennep - Home - 09/03/2026 Orthodontie Nieuw-Vennep | Ortho Nieuw-Vennep - Home - 09/03/2026

Maak kennis met onze praktijk

Orthodontie Nieuw-Vennep is een moderne praktijk waar persoonlijke zorg en deskundigheid centraal staan. Wij geloven dat iedere patiënt een behandeling verdient die past bij zijn of haar wensen, met duidelijke uitleg en een vertrouwd gevoel vanaf het eerste contact.

Onze praktijk is gevestigd binnen in winkelcentrum De Symfonie in Nieuw-Vennep en daardoor makkelijk bereikbaar. Met moderne behandelmethoden en een enthousiast team helpen wij dagelijks kinderen, tieners en volwassenen aan een gezonde en stralende glimlach.

Transparante prijzen

Geen verrassingen achteraf, maar duidelijke tarieven en heldere uitleg over de kosten.

Complete zorg

Vanaf intake tot nazorg begeleiden wij je persoonlijk naar het beste en meest duurzame resultaat.

Moderne technieken

Behandelingen met innovatieve beugels en digitale 3D-scans voor comfort en precisie.

Ontmoet
orthodontist Tim Nai

Tim Nai is in 2015 afgestudeerd als tandarts aan het Academisch Centrum Tandheelkunde Amsterdam (ACTA). Na enkele jaren ervaring als algemeen tandarts specialiseerde hij zich verder en rondde in 2022 de opleiding tot orthodontist af, eveneens in Amsterdam (ACTA).

Naast zijn klinische werk is hij (co-)auteur van enkele publicaties in internationale medische tijdschriften. Tim Nai is lid van o.a. de Nederlandse Vereniging van Orthodontisten (NVvO), de European Orthodontic Society (EOS) en een geregistreerd specialist in het register voor beroepen in de individuele gezondheidszorg (BIG-register).

Start vandaag en plan je intakegesprek

De intake is jouw eerste stap naar een rechte en zelfverzekerde glimlach.
Plan vandaag nog je afspraak en ontdek de mogelijkheden.

Tijdens het eerste consult maak je kennis met onze orthodontist. We bespreken jouw wensen en bekijken of een beugelbehandeling nodig is. Je krijgt direct een eerste inschatting en een globaal behandelplan.

Kies je voor een vervolg, dan verzamelen we alle gegevens die nodig zijn voor een persoonlijk behandelplan. Denk aan röntgenfoto’s, een 3D-scan en duidelijke foto’s van je gebit. Zo weten we exact wat de beste aanpak is.

Met alle informatie stelt de orthodontist jouw persoonlijke behandelplan op. Samen bespreken we de opties en zodra je een keuze maakt, kan jouw beugelbehandeling van start gaan.